Con Scopio, cuando tenemos el soporte de decisión de la IA haciendo el diferencial, podemos enfocarnos en lo que realmente importa... Tenemos una mayor significancia estadística y mayor confianza de no haber omitido un tipo celular raro.
Revise digitalmente todas las áreas clínicamente relevantes a 100x.
Análisis morfológico impulsado por IA.
Revise, consulte y firme resultados desde cualquier lugar*.
Cargas de trabajo y volúmenes de pruebas crecientes
Escasez crítica de personal
Dependencia de la revisión por microscopio en el sitio.
Análisis subjetivo con variabilidad entre usuarios
La plataforma escalable Full-Field de Scopio ayuda a los equipos de hematología a trabajar de manera más eficiente hoy, ampliar su capacidad mañana y adoptar futuras innovaciones con facilidad.
Inicie y termine cada caso en la pantalla. Dígale adiós al microscopio.
Capture digitalmente todas las áreas clínicamente relevantes a 100x, incluyendo el borde de la extensión (feathered edge), y navegue dinámicamente desde la vista completa de la muestra hasta células individuales.
Resultados estandarizados, trazables y repetibles con soporte de decisiones por IA, siempre validados por un humano.
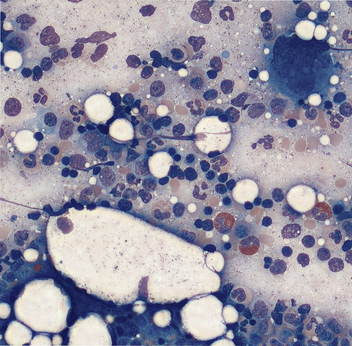
Detecte y analice automáticamente 200 glóbulos blancos, preclasificados en 16 categorías. Reclasifique, marque y anote células fácilmente sin perder el contexto completo.
Estimación de plaquetas y detección de agregados en 10 campos de visión, sin necesidad de conteo manual.
La IA analiza más de 10,000 glóbulos rojos en 1,000 campos de visión, pre-calificando 22 parámetros morfológicos con detección de esquistocitos y otras morfologías clínicamente significativas.
Todos los resultados, anotaciones y anomalías marcadas se capturan en un informe digital estandarizado y fácil de compartir.
Las imágenes de las láminas completas le permiten navegar desde el contexto total de la muestra hasta células individuales con resolución de inmersión en aceite de 100x, ya sea que esté en el laboratorio o a kilómetros de distancia.*
Analice múltiples láminas por caso, priorice anomalías y etiquete hallazgos para segundas opiniones, capacitación o investigación.
La IA evalúa parámetros clave de calidad para la revisión y aprobación de expertos.
Genere un diferencial de 500 células en todos las láminas, preclasificadas en 16 categorías hematopoyéticas, con control total del revisor.
Evaluación integral de las reservas de hierro en muestras teñidas con azul de Prusia.
nformes seguros y estandarizados generados en un clic para resultados consistentes y trazables.
Scopio se asocia con laboratorios de hematología y patología líderes en todo el mundo para avanzar en el diagnóstico y mejorar la atención al paciente.




Explore muestras reales de sangre periférica y médula ósea. Haga zoom, aleje la imagen y explore el contexto completo. Experimente la diferencia Full-Field.
Ver galería de escaneos

