See More. Do More. Diagnose Faster.

The Full-Field Peripheral Blood Smear Application on the X100 is the first end-to-end digital solution that offers full-field imaging and an AI-powered Decision Support System (DSS) with remote connectivity through your secure hospital network.  

The Full-Field Peripheral Blood Smear Application (FF-PBS) on the X100 is FDA Cleared and CE Marked.

Transform the way you work.

The Full-Field Peripheral Blood Smear Application reduces turnaround time for peripheral blood smear review by 60% – a significant optimization of lab workflows and operational efficiencies.  

See more than has ever been possible
without ever touching a microscope.

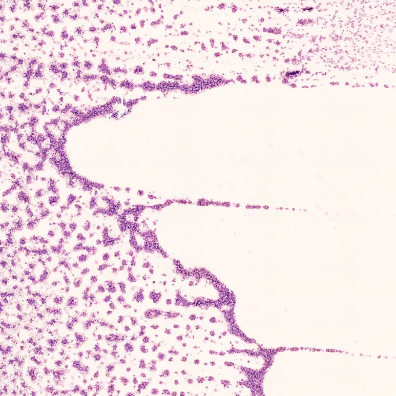
A Full-Field Imaging Perspective

Revolutionary digital imaging captures large scan areas at 100X magnification to give lab professionals a view of all regions of interest, including the feathered edge.

AI-Powered PBS Analysis

Scopio’s Decision Support System brings a new level of standardization and confidence to PBS case reviews. The results are consistent, repeatable, traceable, and always human-affirmed.

AI you can count on.

Classify and quantify WBCs in an instant

Scopio’s morphology Decision Support System automatically performs WBC detection to analyze 200 WBCs, quantify and pre-classify into 16 classes. Drag and drop to reclassify, or flag and annotate abnormalities, while never losing sight of the full context.

Automatic platelet pre-estimation from 10 FOVs

Combine the powerful WBC differential with automatic platelet location and pre-estimation from 10 Fields of View – no need to manually count.

Flexible reviewing options for RBC analysis

Conduct RBC morphology evaluation from 1000 Fields of View supported by a robust set of features for measuring and annotating.

A standardized digital report with one click

The results of every assessment, including annotations and flagged abnormalities, are all documented in a digital report that is easily shared across the continuum of care.

An intuitive digital workflow supports your every move.

Our easy-to-use application is designed to make the review process as efficient as possible. Quickly approve, reclassify, or augment cases with comments, insights and annotations. Zoom in or out with point-and-click speed and ease. Rapidly configure for improved workflow efficiency.

What used to be a remote possibility is now a remote capability.

When you’re needed, you can rely on the same secure hospital network access to the entire digital peripheral blood smear as anyone in the lab, with insights captured at every step.